Neuroinformatics
NeuroZoom Pro - Measuring the Brains
Client - Neurome, Inc.
(Circa 2002) NeuroZoom Pro is ised for computerized microscopy analysis for the precise, computer- aided extraction, analyses, and display of quantitative data from microscope images of the brain, including morphometrics, stereology and image processing.
Features:
- Standardized Data Structures
- High Throughput Tissue Analysis
- Automated Data Acquisition
- Scalable Resolution
- 2D and 3D Registration
- Database Integration
The following figure shows microscope images that are seamlessly reassembled into one brain section, and rotated to perfect alignment.
NeuroZoomPro has all the tools to perform 3D alignment of histological sections acquired by MiceSlice as shown in the next figure:
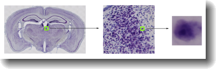
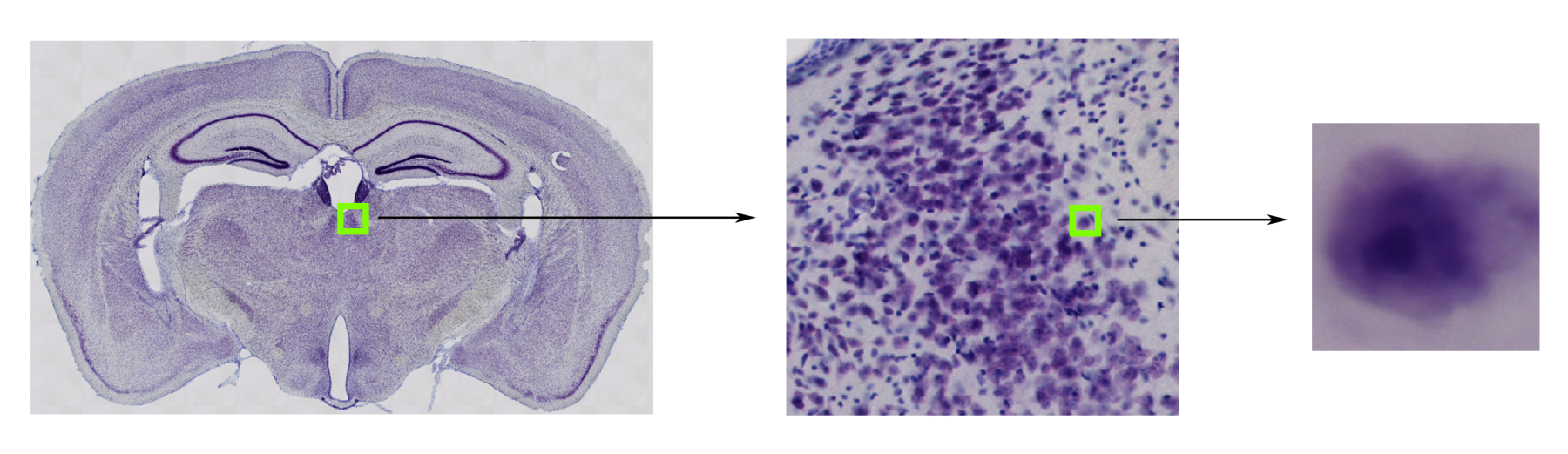
When performed using computer controlled motorized stages on high-performance optical microscopes, NeuroZoomPro can produce ultra high resolution images.
Investigation using the ultia high resolution images and microscopy under NeuroZoomPro control results in single neuron 3D reconstructions in very high detail.
When considering all of the levels of "zoom" that NeuroZoom Pro provides, a bird's eye view of the brain slice to a regional depiction of gene expression to the reconstucted single neuron provides powerful information into the study of neuropathological diseases.
Advantages are:
- High throughput data acquisition and analysis
- Imaging and densitometry (in situ hybridization)
- Morphometrics for chemical marker detection
- Stereology (Cavalieri, optical disector, cell number, sizes)
NeuroZoom Pro is a computerized microscopy system that supports the precise extraction, analysis, and display of quantitative data from the MiceSlice microscope images of the brain, including morphometrics, stereology and image processing. NeuroZoom automation supports high throughput analysis of ultra-high resolution images and promotes standardization of data analysis using the brain database models in BrainArchive.
Features
- Standardized Data Structures
- High Throughput Tissue Analysis
- Automated Data Acquisition
- Scalable Resolution
- 2D and 3D Registration
- Database Integration
Advantages
- High throughput data acquisition and analysis
- Imaging and densitometry (in situ hybridization)
- Morphometrics for chemical marker detection
- Stereology (Cavalieri, optical disector, cell number, sizes)





